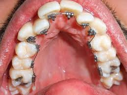
Ortodoncia
La Ortodoncia es la rama de la odontología que se especializa en el diagnóstico, prevención y tratamiento de las malposiciones dentales y faciales.
- La meta del Ortodoncista es el conseguir salud, función y estética para sus pacientes, ya que, cuando se dejan sin atender, estos problemas empeoran.
- La importancia de una sonrisa atractiva no debe subestimarse, puesto que una buena apariencia, frecuentemente, es vital para la autoconfianza
- Nos ayuda a alinear tus dientes, corrigiendo problemas de crecimiento en los maxilares, obteniendo la mejor funcionalidad y estetica
Pensando en la necesidad de cada paciente, también contamos con variedad de brackets y técnicas. Algunas de ellas:







