Estética Dental
Carillas

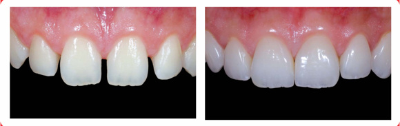
Las carillas dentales son prótesis de porcelana finas que se pegan en la superficie anterior de los dientes, proporcionando una apariencia natural y atractiva.
“Una sonrisa perfecta es aquella que además de gozar de muy buena salud, posee cada pieza dentaria en estado óptimo; el color, la forma de los dientes, el tamaño de la boca y las encías, deben conjugar armoniosa y simétricamente entre sí, de acuerdo ala estructura facial de cada persona”.

Las carillas dentales son prótesis de porcelana finas que se pegan en la superficie anterior de los dientes, proporcionando una apariencia natural y atractiva.


Las coronas libres de metal son la alternativa ideal para los pacientes que desean la máxima naturalidad, estética, y resistencia. Al no tener núcleo metálico la belleza y naturalidad de un diente normal es semejante.

Blanqueamiento Dental

El blanqueamiento dental que te ofrecemos en DentPro, es de última generación y es un procedimiento que en una sola sesión y sin maltratar el esmalte, aclara el tono de tus dientes y los hace mas brillantes, obteniendo así la sonrisa que siempre has querido.
Se realiza aplicando un gel especialmente diseñado para éste procedimiento en el cual se utiliza una lámpara de luz fría que acelera y maximiza los resultados obtenidos, logrando así una mejora significativa en tu imagen
