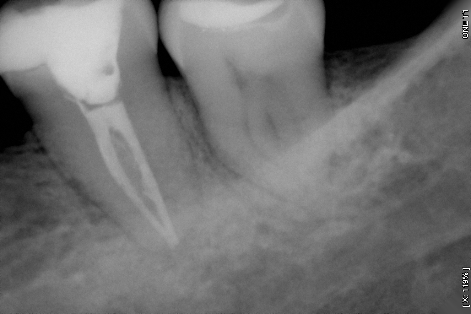
Endodoncia
Es la especialidad que se encarga de retirar el nervio del diente cuando éste ha sido afectado por una caries, por un golpe o simplemente por requerimiento de un procedimiento de rehabilitación que esté causando sintomatología.
Y en DentPro realizamos tratamientos endodónticos con la más avanzada tecnología, utilizando sistemas rotatorios y radiografías digitales.










