Odontopediatria
En DentPro nos preocupamos por la salud bucal de cada miembro de la familia, es por eso que nuestra odontopediatra se encarga de la atención del niño y del adolescente.
- El Odontopediatra nos ayuda desde edades tempranas a generar experiencias agradables en los niños para evitar que en un futuro las consultas odontológicas sean traumáticas.
- Es importante visitar al odontopediatra desde la aparición del primer diente para enseñarle a los padres los hábitos que garanticen su salud oral.
- Contribuye a que tus hijos crezcan con dientes sanos y los prepara para que desde su infancia conozcan la importancia de cuidar su salud oral.
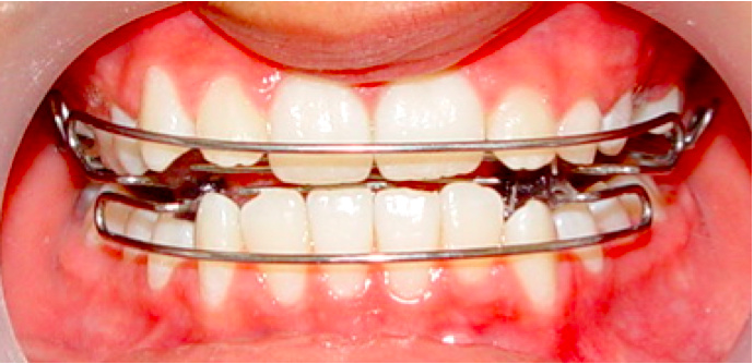
- El Odontopediatra tiene la capacidad de manejar los problemas iniciales de crecimiento de maxilares con aparatos fijos o removibles.





















